-
-
广东省广州市海珠区石榴岗路13号
导航
-
科室简介超声医学是一门新兴的学科,是医学影像学的一个年轻而又重要的分支,随着超声新技术采用的日益完善,它与临床科室不断融合发展,在疾病的诊断与治疗中发挥着极大的作用,在医疗服务体系中占有越来越重要的地位,由于超声对检查者无创伤、无痛苦、无放射性,结果直接,快速且可重复使用,因此深受医生和病人的欢迎,它对各种疾病检出率高、诊断率,为临床首选主要检查手段。
南方医科大学中西医结合医院超声医学科现有专业技术人员13名,硕士研究生学历2名,本科学历9名。拥有GE LOGIQ E11,Philip EPIQ7及EPIQ5等先进的彩色多普勒超声诊断仪9台,能满足各种临床超声检查及超声引导下介入诊断与治疗。
超声医学科开展了心血管、消化、泌尿、妇产、小儿、周围血管、浅表器官及肌骨超声,以及经阴道超声、经直肠超声等多学科、多部位的常规超声检查。开展的特色超声技术包括:超声造影技术,超声弹性成像技术,介入性诊断与治疗超声,融合成像技术等。
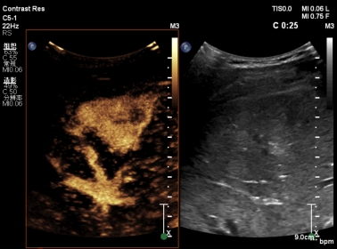
超声造影技术是一项无创影像学检查技术,比普通超声及彩色多普勒超声能提供更丰富、更明确的诊断信息,且快速简便,可重复操作性非常好,临床实用性很高,尤其使肝脏肿瘤的诊断符合率明显提高,超过90%,可以与增强CT、MRI相媲美。
弹性成像技术是一种新型超声诊断技术,能提供病变组织的硬度信息,主要用于肝脏纤维化的诊断及乳腺、甲状腺、前列腺等器官实性肿瘤的良恶性,使超声图像拓宽,弥补了常规超声的不足,能更生动地显示、定位病变及鉴别病变性质。
介入超声是在实时超声影像监视或引导下,用穿刺针或导管进行操作,完成对各种病变的诊断和治疗。介入超声属于微创技术,是用针不用刀的手术,具有无需开刀,组织损伤小,无疤痕,操作精准、简便、可重复,无放射性损伤,并发症少等特点。介入性超声诊疗技术包括:超声引导消融治疗肝癌;超声引导下腹腔和盆腔脏器、甲状腺、乳腺和体表肿块的穿刺活检;胸水、腹水、囊肿、脓肿的抽吸引流、置管;胆道、泌尿道梗阻置管引流;实质性脏器肿瘤射频消融、微波消融、冷冻消融、激光消融;深静脉穿刺置管等。

肝脏肿瘤超声造影技术,显示肿瘤内微血管灌注情况

动脉粥样硬化狭窄及其血流动力学改变
超声检查可应用于心血管、腹部、妇产、浅表器官及软组织等多种脏器及结构。具体应用范围如下:
1. 腹部超声检查:肝脏、胆囊、脾脏、胰腺、肾脏、输尿管、膀胱、前列腺、肾上腺、胃肠道(如阑尾)、肠系膜淋巴结、腹膜后淋巴结等。
2. 心脏及周围血管超声检查:心脏、胸主动脉、颈动脉、椎动脉,腹部大血管、四肢大血管等。
3. 妇产科超声检查:子宫、附件、胎儿及附属物等。
4. 浅表器官及软组织超声检查:甲状腺、乳腺、眼球、颌下腺、腮腺、阴囊、睾丸、附睾、淋巴结、皮内及皮下肿物、肌肉与关节等。
5. 其他超声检查:胸膜腔(胸腔积液)、腹膜腔(腹腔积液)等。
-
科室医生